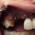
For those who have lost one or more teeth, dental implants are a great option for restoring their smile. Not only do they look, feel and function like natural teeth, but they also offer the added benefit of allowing replacement teeth to look, feel and function like natural teeth. When it comes to caring for teeth with dental implants, there are some special cleaning techniques that should be used to ensure optimal results. It is recommended to use wax-free adhesive tape or dental floss specifically designed for dental implants to clean between teeth.
Another option is to use a floss threader to help you maneuver in hard-to-reach spaces. For those with All-on-4 implants, food particles can easily be trapped between the base of the bridge and the gumline, increasing the risk of infection. All-on-4 dental implants are made of the same materials as individual implants and should be cared for in the same way: with a soft-bristled toothbrush and a floss with water, and brushed at least twice a day with non-abrasive toothpaste. To remove food debris that gets stuck between the bridge and the gumline, most water floss cleaners come with rubber-tipped stimulators that can gently remove food particles. Use this accessory in your dental cleaner with water at least once a day.
Use only the medium or low setting, as the high setting can separate the tissue from the implant, in some cases. A groove brush is about one-third the width of a normal toothbrush and is effective at cleaning the part of the bridge that becomes soft tissue. Many patients with All-on-4 implants report that a groove brush makes their dental implant care routines much easier. In addition to brushing and flossing, an interdental brush made of pure nylon without metal wires should be used to avoid scratching the surface of your implants or crowns. Be sure to always brush the surface of each tooth thoroughly, paying special attention to cracks.
Dental floss for crowns and bridges is specifically designed to rub under and around dental implant dentistry. Follow the instructions on the cleaning solution so as not to compromise the functionality and lifespan of your dental prosthesis. To reach these areas, try using a toothbrush with an angled neck or an interdental brush with a thin head, especially if the implant is in the back of the mouth. This will reduce the risk of side effects after resolution of pain, burning and vomiting when soaked in the cleaning solution for overdentures. It's also important to use dental floss or dental floss to remove any food left between the bridge of the teeth and the gum line. Make sure you care for your full-arch dental implant bridges properly by following these special cleaning techniques every day.
In many cases, as few as four implants can support full-mouth dental implants, although some patients do better with more dental implants. By following these special cleaning techniques regularly, you can ensure that your dental implants last for many years.







